Otros Cánceres Ginecológicos.

Cáncer de Ovario

El cáncer de ovario es una enfermedad en la que células cancerosas se forman en los ovarios de una mujer. Los ovarios son órganos reproductores femeninos que producen óvulos y hormonas femeninas. El cáncer de ovario puede ser difícil de detectar en sus etapas iniciales porque los síntomas a menudo no se manifiestan hasta que la enfermedad está avanzada.

Tipos de cáncer de ovario

El tipo de célu la en la que se origine el cáncer determina el tipo de cáncer de ovario que padeces y ayuda al médico a determinar los mejores tratamientos para ti. Los tipos de cáncer de ovario son los siguientes:

  • Cáncer de ovario epitelial. Este tipo es el más frecuente. Incluye varios subtipos, como el carcinoma seroso y el carcinoma mucinoso.
  • Tumores estromales. Estos tumores poco frecuentes se suelen diagnosticar en un estadio más temprano que otros cánceres de ovario.
  • Tumores de células germinativas. Estos tipos de cáncer de ovario poco frecuentes tienden a producirse a una edad más temprana

Factores de Riesgo

Los factores que pueden aumentar el riesgo de padecer cáncer de ovario incluyen los siguientes:

  • Edad avanzada.
  • Alteraciones genéticas hereditarias.
  • Antecedentes familiares de cáncer de ovario.
  • Sobrepeso u obesidad.
  • Terapia de reemplazo hormonal postmenopáusica.
  • Endometriosis.
  • Edad en que comenzó la menstruación y edad en que terminó.
  • No haber estado embarazada nunca.

Cuadro clínico

Los signos y síntomas del cáncer de ovario pueden incluir los siguientes:

  • Hinchazón o inflamación abdominal
  • Sensación de saciedad rápida al comer
  • Pérdida de peso
  • Molestia en la zona pélvica
  • Fatiga
  • Dolor de espalda
  • Cambios en los hábitos intestinales, como estreñimiento
  • Necesidad frecuente de orinar

El tratamiento en cáncer de ovario es con cirugía, quimioterapia y en casos especiales radioterapia.

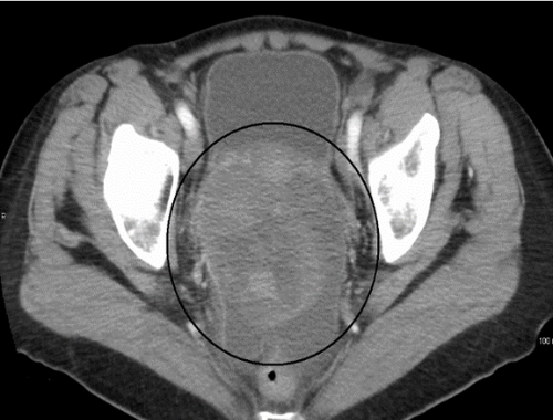
Tomografía de cáncer de ovario

Cáncer epitelial de ovario

Cáncer de Endometrio.

El cáncer de endometrio es un tipo de cáncer que comienza como una proliferación de células en el útero. El cáncer de endometrio comienza en el endometrio, que es la capa de células que forman el revestimiento del útero. El cáncer de endometrio se denomina a veces cáncer de útero. Otros tipos de cáncer se pueden formar en el útero, incluido el sarcoma uterino; sin embargo, son mucho menos frecuentes que el cáncer de endometrio.

Cuadro clínico.

Los síntomas del cáncer de endometrio pueden incluir:

  • Sangrado vaginal después de la menopausia.
  • Sangrado entre periodos menstruales.
  • Dolor pélvico.

Entre los factores que aumentan el riesgo para cáncer de endometrio se incluyen:

  • Cambios en el equilibrio hormonal del organismo.
  • Más años de menstruación.Iniciar la menstruación antes de los 12 años o comenzar la menopausia más tarde de los 55 años.
  • Nunca haber tenido un embarazo.
  • Edad avanzada.
  • Obesidad.
  • Terapia hormonal para cáncer de mama.
  • Un síndrome hereditario que aumenta el riesgo para cáncer.

Cáncer de Endometrio

Cáncer de Endometrio

Cáncer de Vulva

El cáncer vulvar es un tipo de cáncer que comienza como una proliferación de células en la vulva. La vulva es el área de piel que rodea la uretra y la vagina. Es causado por el virus de papiloma humano en la mayoría de los casos.

Cuadro clínico.

Los signos y síntomas del cáncer vulvar pueden comprender los siguientes:

  • Un bulto, protuberancias verrugosas o una llaga abierta en la vulva
  • Sangrado en el área de los genitales que no se debe a la menstruación
  • Comezón en la piel de la vulva que no desaparece
  • Dolor y sensibilidad que afecta a la vulva
  • Cambios en la piel, como cambios en el color o el engrosamiento de la piel de la vulva

El tratamiento contra el cáncer vulvar generalmente empieza con una cirugía para extirpar el cáncer y una pequeña parte del tejido sano que lo rodea. Algunas veces, la cirugía de cáncer vulvar requiere la extirpación de toda la vulva. Cuanto antes se diagnostique el cáncer vulvar, menos probable será que el tratamiento requiera una cirugía más extensa.

Cáncer de vulva inicial

Cáncer de vulva avanzado

Cáncer de vagina

El cáncer vaginal es una proliferación de células que comienza en la vagina. Las células se multiplican rápidamente y pueden invadir y destruir tejidos sanos del cuerpo. La mayoría de las veces esta asociado a la infección por virus de papiloma humano.

El cáncer que se origina en la vagina es poco común. La mayoría de los tipos de cáncer de vagina se originaron en otra parte y se diseminaron hacia allí.

Cuando el cáncer vaginal diagnosticado está limitado a la vagina, la posibilidad de curarse es la mejor. Cuando el cáncer se disemina más allá de la vagina, es mucho más difícil de tratar.

Cuadro clínico

Es posible que el cáncer vaginal no cause ningún síntoma al principio. Sin embargo, a medida que crece, puede causar signos y síntomas como los siguientes:

  • Sangrado vaginal que no es común, como sangrado después de la menopausia o después de tener relaciones sexuales
  • Secreción vaginal
  • Un bulto o un tumor en la vagina
  • Micción dolorosa
  • Micción frecuente
  • Estreñimiento
  • Dolor pélvico

El manejo del cáncer de vagina debe ser cirugía, radioterapia.

Cáncer de Vagina